DGZ-Newsletter 01 | 2026
Im DGZ-Newsletter werden wissenschaftliche Informationen zur Zahnerhaltung kompakt und verständlich auf den Punkt gebracht. Die Inhalte werden von Expertinnen und Experten der deutschen Universitätszahnkliniken verfasst, die exklusiv von interessanten Entwicklungen aus ihrer aktuellen Forschungsarbeit berichten.
Im ersten Newsletter 2026 steht die Entfernung von Wurzelkanastiften im Mittelpunkt. Priv.-Doz. Dr. Franziska Haupt aus Göttingen gibt zunächst einen Überblick über den aktuellen Stand der Forschung, der im Experteninterview erläutert und vertieft wird. Im letzten Teil gibt sie praktische Tipps zur Wurzelstiftentfernung und zeigt Fallstricke und Lösungsansätze auf.
Ergänzt wird der Newsletter wie immer durch Abrechnungstipps von Emine Parlak von der Charité Berlin zur Wurzelstiftentfernung und zu endodontischen Revisionen.
Entfernung von Wurzelkanalstiften
Während der Revision einer Wurzelkanalbehandlung gehört die Entfernung intraradikulärer Stifte zu den technisch anspruchsvollsten Maßnahmen im endodontischen Therapiespektrum. Hierbei ist das Ziel, den Stift möglichst substanzschonend zu entfernen und keine iatrogene Schädigung des Wurzeldentins zu verursachen. Aktuelle experimentelle Untersuchungen können hierzu wertvolle Hinweise für die klinische Praxis liefern
Für die Entfernung von adhäsiv befestigten Faserstiften eignen sich unter anderem Langschaftrosenbohrer oder diamantierte (Ultra-)Schallspitzen. Unabhängig von der eingesetzten Technik zeigte sich, dass die Entfernung von Glasfaserstiften stets mit einem messbaren Verlust an Dentin einhergeht. Gleichzeitig verbleiben häufig Reste von Stift- oder Befestigungsmaterial im Wurzelkanal, da eine vollständig rückstandsfreie Entfernung selbst unter kontrollierten Laborbedingungen kaum erreichbar ist. Grundsätzlich gilt, dass eine möglichst vollständige Materialentfernung häufig mit einem erhöhten Dentinverlust korreliert. Die Entfernung von Glasfaserstiften ist daher als invasive Maßnahme zu bewerten, die – wenn auch selten – mit einem gewissen Perforationsrisiko einhergeht.
Besondere Aufmerksamkeit gilt in jüngerer Zeit navigationsgestützten Verfahren. Schablonengeführte Techniken auf Basis einer dreidimensionalen Bildgebung ermöglichen eine präzise, vorab geplante Ausrichtung des Zugangs entlang der Längsachse des Stiftes. Dadurch kann der Abtrag radikulärer Zahnhartsubstanz signifikant reduziert werden. Gleichzeitig ermöglicht das Verfahren ein hohes Maß an Sicherheit, insbesondere bei weniger erfahrenen Behandlern. Abweichungen vom ursprünglichen Kanalverlauf treten seltener auf und Wurzelperforationen lassen sich weitestgehend vermeiden. Zusätzlich profitiert die schablonengeführte Technik aufgrund einer besseren Kontrolle und Zielgenauigkeit von einer geringeren Behandlungszeit.
Zusammenfassend verdeutlichen aktuelle Forschungsergebnisse, dass die Entfernung adhäsiv befestigter Faserstifte immer ein Balanceakt zwischen Effektivität und Sicherheit bleibt. Moderne, schablonengeführte Verfahren bieten jedoch vielversprechende Möglichkeiten, die radikuläre Zahnhartsubstanz zu schonen sowie das Risiko iatrogener Komplikationen zu reduzieren. Ihre Bedeutung dürfte insbesondere bei anatomisch schwierigen Situationen weiter zunehmen.
Autorin: Priv.-Doz. Dr. Franziska Haupt, UMG Universitätsmedizin Göttingen, Poliklinik für Präventive Zahnmedizin, Parodontologie und Kariologie
Bild:
Literatur
Haupt F, Riggers I, Konietschke F, Rödig T. Effectiveness of different fiber post removal techniques and their influence on dentinal microcrack formation. Clin Oral Investig. 2022;26(4):3679-3685. doi: 10.1007/s00784-021-04338-0.
Krug R, Schwarz F, Dullin C, Leontiev W, Connert T, Krastl G, Haupt F. Removal of fiber posts using conventional versus guided endodontics: a comparative study of dentin loss and complications. Clin Oral Investig. 2024;28(3):192. doi: 10.1007/s00784-024-05577-7.
Stiftrevision mit Augenmaß: Diagnostik, Prognose und Technik im Fokus
Interview mit Priv.-Doz. Dr. Franziska Haupt, Universitätsmedizin Göttingen (Foto: UMG)
Dr. Franzisska Haupt erläutert, wann die Entfernung von Wurzelkanalstiften sinnvoll ist, wie sich Stiftversagen und Wurzelfrakturen diagnostisch abgrenzen lassen und welche Rolle die DVT spielt. Zudem beschreibt sie prognostische Faktoren, bewährte Techniken der Stiftentfernung und betont die zentrale Bedeutung von Restaurierbarkeit und Ferrule-Effekt für den langfristigen Zahnerhalt.
)
Frau Dr. Haupt, die Entfernung von Wurzelkanalstiften während einer endodontischen Revisionsbehandlung setzt eine sorgfältige Indikationsstellung sowie eine präzise Diagnostik voraus. Woran erkennen Sie, dass ein Stift versagt hat oder eine Revision notwendig ist? Wie grenzen Sie präoperativ differentialdiagnostisch eine Wurzelfraktur aus und welche Bedeutung kommt dabei bildgebenden Verfahren wie der digitalen Volumentomografie (DVT) zu?
Die hauptsächliche Indikation für die Entfernung eines Stiftes entspricht häufig der einer Revisionsbehandlung, also beispielsweise die intraradikuläre Infektion mit apikaler Parodontitis des wurzelkanalbehandelten Zahnes. Wenn es um das Versagen des Stiftes selbst geht, hängt dies wesentlich von der Art des verwendeten Stiftsystems ab. Während in der Literatur bei Metallstiften häufiger ein Versagen des Zahnes beschrieben wird – etwa in Form von Wurzellängsfrakturen – tritt bei Glasfaserstiften eher ein adhäsives Versagen des Stiftes auf. Letzteres ist klinisch meist relativ eindeutig zu erkennen, da sich der Stift oder die koronale Restauration gelöst hat.
Deutlich anspruchsvoller gestaltet sich hingegen die Diagnostik vertikaler Wurzelfrakturen. Klinische Symptome sind häufig unspezifisch und auch konventionelle Röntgenaufnahmen liefern nicht immer eindeutige Hinweise. Es gibt bestimmte klinische Anzeichen, wie lokalisiert erhöhte Sondierungstiefen oder auch Fistelgänge. Allerdings manifestieren sich diese Anzeichen häufig erst im fortgeschrittenen Stadium. In diesem Zusammenhang kann die digitale Volumentomografie (DVT) eine wertvolle ergänzende Rolle spielen, auch wenn Frakturlinien meist nicht direkt darstellbar sind. Stattdessen liefern typische, längs der Wurzel verlaufende knöcherne Defekte wichtige indirekte Hinweise für die differentialdiagnostische Beurteilung.
Die zu erwartende Prognose einer Stiftrevision ist sowohl für Behandler:innen als auch für Patient:innen von zentraler Bedeutung. Welche Faktoren ziehen Sie zur Einschätzung der Erfolgsaussichten einer geplanten Revision heran? Inwiefern beeinflussen dabei Aspekte wie Zahntyp, Anzahl der Wurzeln oder die Qualität der ursprünglichen Wurzelkanalfüllung Ihre Bewertung?
Bei der Einschätzung der Prognose einer geplanten Stiftrevision sollten zwei Aspekte getrennt voneinander betrachtet werden: Die Erfolgsaussichten der endodontischen Revision selbst und die technische Durchführbarkeit der Stiftentfernung. Bereits durch die Primärbehandlung veränderte Wurzelkanalanatomien gehen in der Regel mit reduzierten Erfolgsaussichten einher. Auch der Zahntyp ist relevant: Molarenrevisionen sind aufgrund der komplexeren Anatomie und der distalen Position grundsätzlich anspruchsvoller als die Therapie von Frontzähnen.
Unabhängig davon lässt sich präoperativ anhand des Röntgenbildes die inserierte Stiftlänge zuverlässig beurteilen und häufig kann auch das verwendete Stiftmaterial abgeschätzt werden. Beides sind zentrale Faktoren für die Einschätzung der Entfernbarkeit. Nicht beurteilbar ist hingegen das Befestigungsmaterial, da sich eine zementierte von einer adhäsiven Befestigung radiologisch nicht unterscheiden lässt, letztere die Entfernung jedoch deutlich erschwert.
Die technische Durchführung einer Stiftrevision stellt für viele Behandler eine erhebliche Herausforderung dar. Gibt es spezielle Instrumente, auf die Sie sich besonders verlassen oder die Sie bevorzugt zur Entfernung von Wurzelkanalstiften einsetzen? Wie passen Sie Ihre Vorgehensweise an die jeweilige Art und das Material des Stiftes an, etwa bei Metall vs. Glasfaserstiften oder bei Stiften mit glatten Oberflächen vs. Gewinde?
Die Vorgehensweise bei der Entfernung von Wurzelkanalstiften richtet sich wesentlich nach Material und Befestigung des Stiftes. Bei zementierten Metallstiften haben sich nach koronaler Freilegung mit grazilen Rosenbohrern schallbetriebene Instrumente mit Wasserkühlung bewährt, um die Zementfuge gezielt zu desintegrieren. Adhäsiv befestigte Glasfaserstifte können hingegen rotierend entfernt werden, ich bevorzuge meist Langschaftrosenbohrer. Entscheidend ist dabei eine kontrollierte Entfernung unter direkter Sicht, idealerweise unter dem Operationsmikroskop, um den Substanzverlust möglichst gering zu halten.
Nach einer erfolgreichen Stiftentfernung stellt sich die Frage der weiteren restaurativen Versorgbarkeit des Zahnes und ob eine erneute Stiftversorgung sinnvoll ist. Welche Kriterien sind aus Ihrer Sicht entscheidend, um den Zahn langfristig erhalten zu können und welche Rolle spielen dabei prothetische Aspekte?
Die Vorgehensweise bei der Entfernung von Wurzelkanalstiften richtet sich wesentlich nach Material und Befestigung des Grundsätzlich sollte die Restaurierbarkeit des Zahnes immer vor einer aufwendigen endodontischen Therapie geprüft werden. Ein Stift ist vor allem dann sinnvoll, wenn aufgrund geringer Restzahnhartsubstanz zusätzliche Retention für den adhäsiven Aufbau nötig ist. Neben der vorhandenen Zahnhartsubstanz beeinflussen allerdings auch andere Faktoren, wie zum Beispiel die funktionelle Belastung und die Anzahl der Nachbarzähne, die Prognose. Grundsätzlich ist für die langfristige Versorgbarkeit eines Zahnes weniger der Stift als vielmehr ein ausreichender Ferrule-Effekt entscheidend. Ist eine zirkuläre Fassung durch eine indirekte Restauration möglich, spielt das Stiftmaterial für die Prognose eine untergeordnete Rolle. Lässt sich kein ausreichender Ferrule erzielen, kommen nach strenger Indikationsstellung zusätzliche Maßnahmen, wie die chirurgische Kronenverlängerung und eine kieferorthopädische oder chirurgische Extrusion infrage.Stiftes. Bei zementierten Metallstiften haben sich nach koronaler Freilegung mit grazilen Rosenbohrern schallbetriebene Instrumente mit Wasserkühlung bewährt, um die Zementfuge gezielt zu desintegrieren. Adhäsiv befestigte Glasfaserstifte können hingegen rotierend entfernt werden, ich bevorzuge meist Langschaftrosenbohrer. Entscheidend ist dabei eine kontrollierte Entfernung unter direkter Sicht, idealerweise unter dem Operationsmikroskop, um den Substanzverlust möglichst gering zu halten.
Kurz gesagt: Ohne Ferrule hilft auch der beste Stift nur begrenzt.
Frau Dr. Haupt, vielen Dank für das Gespräch.
Das Interview führten Priv.-Doz. Dr. Julia Lubauer und Dr. Sabina Würsching
Fallstricke und Lösungsansätze bei der Entfernung von Wurzelkanalstiften
von Priv.-Doz. Dr. Franziska Haupt, Universitätsmedizin Göttingen, Poliklinik für Präventive Zahnmedizin, Parodontologie & Kariologie
Aufgrund der zahlreichen, in der Literatur beschrieben Wechselwirkungen zwischen Adhäsivsystemen unDie Entfernung von Wurzelkanalstiften erfordert eine sorgfältige Analyse der präoperativen Röntgenaufnahme, bleibt jedoch trotz umfangreicher Diagnostik in vielen Fällen mit Unberechenbarkeiten verbunden. Die folgenden klinischen Beispiele verdeutlichen die große Variabilität hinsichtlich Stiftmaterial, Befestigungsart und inserierter Länge und zeigen die daraus resultierenden klinischen Herausforderungen.d aluminiumchloridhaltigen Adstringentien kann ein „adstringentienfreies“ Arbeiten das klinische Prozedere deutlich erleichtern, auch wenn dieses zunächst paradox erscheint.
)
Zementierte, geschraubte Metallstifte, die maximal in das mittlere Kanaldrittel reichen, lassen sich in der Regel gut radiologisch beurteilen und bieten häufig günstige Voraussetzungen für eine kontrollierte Entfernung (Abb. 1).
Abb. 1: Zahn 45 mit relativ kurzem, geschraubtem Metallstift | Foto: Franziska Haupt
Demgegenüber stellen sehr lange Metallstifte eine deutlich höhere technische Herausforderung dar, da mit zunehmender Stiftlänge sowohl der erforderliche Substanzabtrag für die koronale Freilegung des Stiftes als auch das Risiko von Komplikationen steigen. Geschraubte Stifte können allerdings auch bei ausgedehnter Stiftlänge durch eine schallgestützte Lockerung entgegen der Einschraubrichtung vorhersagbar entfernt werden (Abb. 2a und b).
Abb. 2: a) Präoperative Einzelzahnaufnahme des Zahnes 25 mit langem geschraubtem Metallstift, b) Röntgenologische Kontrolle drei Jahre postoperativ | Fotos: Franziska Haupt
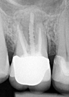
Adhäsiv befestigte Glasfaserstifte lassen sich in der Regel mit Hilfe von Langschaftrosenbohrern und unter direkter Sicht durch das Operationsmikroskop kontrolliert entfernen. Allerdings können sie präoperativ radiologisch nicht immer eindeutig identifiziert werden, da ihr Röntgenkontrast häufig nur schwer vom umgebenden Wurzelkanalfüllmaterial zu unterscheiden ist (Abb. 3a und b).
Abb. 3: a) Präoperative Einzelzahnaufnahme des Zahnes 16. Der palatinal inserierte Glasfaserstift ist radiologisch kaum erkennbar (Pfeil). b) Intraoperativ sichtbarer Glasfaserstift im palatinalen Wurzelkanal (Pfeil). Fotos: Franziska Haupt
Ein hoher Röntgenkontrast bedeutet jedoch nicht in jedem Fall, dass es sich um einen Metallstift handelt. Eine Verwechslung mit adhäsiv befestigten Zirkonoxidstiften ist möglich. Deren Entfernung ist allerdings technisch deutlich schwieriger und ist häufig mit einem erhöhten Dentinverlust verbunden (Abb. 4 a-c).
Abb. 4: a) Präoperative Einzelzahnaufnahme des wurzelspitzenresezierten Zahnes 21 mit Guttaperchastift im bestehenden Fistelgang. b) Koronal freigelegter Zirkonoxidstift. c) Sicht auf das periapikale Gewebe nach Stiftentfernung. Foto: Franziska Haupt
Zusammenfassend zeigen die dargestellten Fälle, dass die präoperative Beurteilung von Wurzelkanalstiften mit relevanten diagnostischen Limitationen verbunden ist. Eine flexible Anpassung der Vorgehensweise und eine konsequente visuelle Kontrolle während der Behandlung stellen hierbei entscheidende Faktoren für die erfolgreiche Stiftentfernung sowie die Minimierung von Risiken dar.
Abrechnung kompakt | Wurzelstiftentfernung und endodontische Revisionen – Richtlinien beachten, Abrechnung sichern
von Emine Parlak, Stabsstelle Kosten- und Erlösmanagement, Charité Universitätsmedizin Berlin I Centrum 3 für Zahn-, Mund- und Kieferheilkunde
Die im Fachartikel dargestellten klinischen Aspekte der Wurzelstiftentfernung verdeutlichen, dass endodontische Revisionen nicht nur fachlich anspruchsvoll sind, sondern auch eine sorgfältige abrechnungstechnische Einordnung erfordern. Insbesondere im GKV-Bereich ist eine klare Trennung zwischen vertragszahnärztlichen Leistungen und privat zu vereinbarenden Maßnahmen unerlässlich.
)
Revisionen und Prognosebewertung – wann GKV, wann privat?
Die im Fachartikel beschriebenen klinischen Entscheidungs- und Prognosefaktoren machen deutlich, dass die Entscheidung für eine endodontische Revision stets auf einer sorgfältigen individuellen Bewertung des Zahnes und der zu erwartenden Prognose beruhen muss.
Grundsätzlich gilt: Endodontische Revisionen können Leistungen der gesetzlichen Krankenversicherung sein, sofern die Behandlung richtlinienkonform, prognostisch sinnvoll und wirtschaftlich durchführbar ist.
Eine konservierende Revision zulasten der GKV kommt insbesondere dann in Betracht, wenn:
eine medizinische Indikation besteht (z. B. apikale Läsion, undichte Wurzelkanalfüllung),
der Zahn als erhaltungswürdig einzustufen ist und
mit der Revision konkrete funktionelle Ziele erreicht werden können (z. B. geschlossene Zahnreihe, Vermeidung einer einseitigen Freiendsituation oder Erhalt funktionstüchtigen Zahnersatzes).
Erfordert die Revision hingegen aufgrund der individuellen Zahnsituation einen erheblich erhöhten Zeit-, Material- oder apparativen Aufwand, überschreitet die Behandlung regelmäßig den Rahmen der vertragszahnärztlichen Versorgung und ist entsprechend als außervertragliche Leistung zu vereinbaren.
Gerade im Rahmen endodontischer Revisionen betrifft diese Abgrenzung in der Praxis häufig die Entfernung vorhandener Wurzelstifte. Auch wenn die Revision selbst – bei Erfüllung der Richtlinien – als GKV-Leistung erbracht werden kann, gilt dies für die Wurzelstiftentfernung nur in einem eng begrenzten Ausnahmefall.
Wurzelstiftentfernung – Abrechnung klar abgrenzen
Die Entfernung eines nicht abgebrochenen Wurzelstiftes ist keine Leistung der gesetzlichen Krankenversicherung. Die BEMA-Nr. 23 (Ekr) erfasst ausschließlich die Entfernung abgebrochener Wurzelstifte und ist auf diesen Sonderfall beschränkt.
Für alle intakten Wurzelstifte – unabhängig von Material und Befestigungsart – erfolgt die Berechnung je Wurzelstift nach GOZ-Nr. 2300.
Wirtschaftlichkeit in der Praxis – außervertragliche Behandlung korrekt einordnen
Die konsequente Trennung zwischen vertragszahnärztlichen und privat zu vereinbarenden Leistungen ist nicht nur aus rechtlicher Sicht geboten, sondern auch Voraussetzung für eine wirtschaftlich tragfähige Praxisführung.
Praxistipp: Dokumentation schafft Abrechnungssicherheit
Eine klare Dokumentation der Indikation, der Prognosebewertung und der privat zu vereinbarenden Leistungen ist Voraussetzung für eine revisionssichere Abrechnung.